También conocido como TN Plus
El método más efectivo para hacer el Screening se basa en la combinación de:
- Edad materna
- Una muestra de sangre materna para medir las hormonas del embarazo ß-hCG libre y PAPP-A
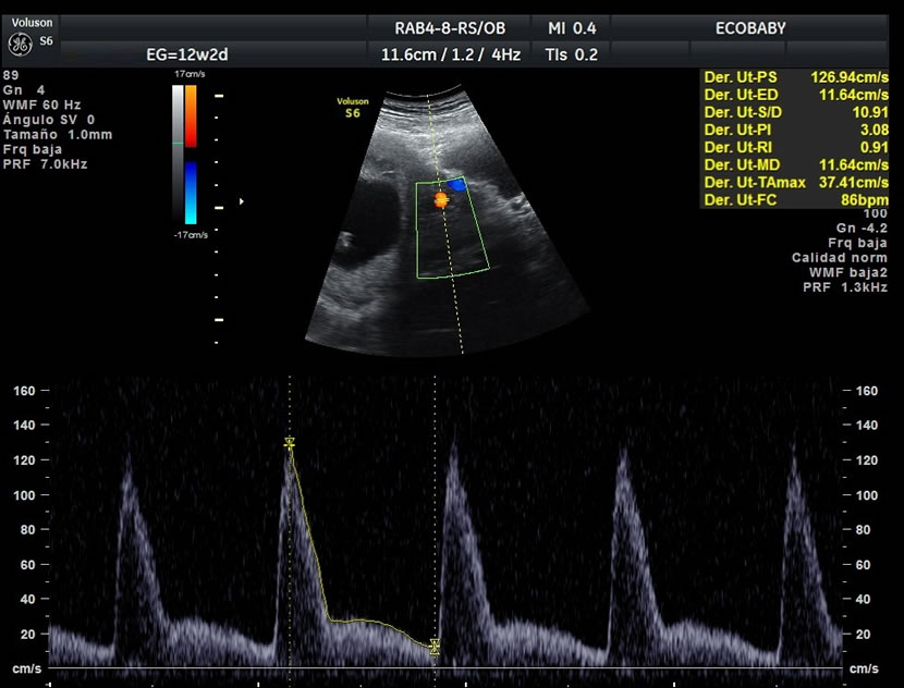
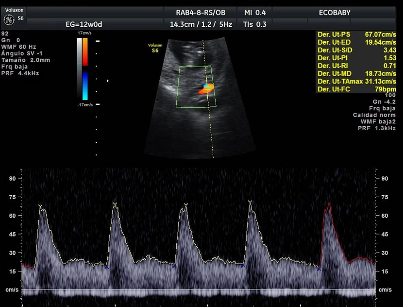
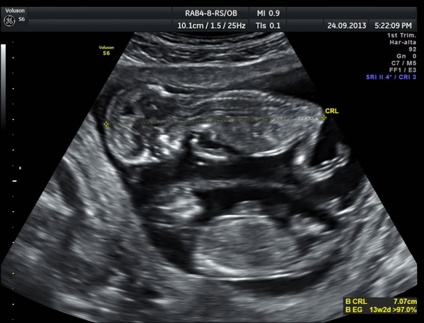
- Una ecografía entre las semanas 11-13.6 de embarazo:
> Para medir el grosor de líquido detrás de la nuca del feto (translucencia nucal)
> Para examinar el hueso nasal
> Para medir la frecuencia cardiaca fetal
> Para estudiar el flujo a través de la válvula tricúspide del corazón fetal y el ductus venoso
Este nuevo método de screening reduce de forma drástica el número de mujeres que requieren una prueba invasiva desde un 20 a menos de un 3%, y al mismo tiempo aumenta la tasa de detección de síndrome de Down y de otros problemas cromosómicos desde un 50%, a más del 95%
Otros beneficios de esta ecografía son
- Datar adecuadamente el embarazo
- Diagnóstico temprano de muchas anomalías fetales mayores
- La detección de embarazos múltiples con el diagnóstico correcto de la corionicidad, que es el factor determinante de las complicaciones en los embarazos múltiples
- Una mejora reciente es que la ecografía de las semanas 11-13 se puede utilizar también para identificar a las mujeres con riesgo alto de desarrollar preeclampsia durante el embarazo.











