Se efectúa entre las semanas 20 y 24 aunque de ser necesario puede diferirse un poco. Más allá de las 30 semanas el tamaño del bebe y las sombras que ocasionan sus huesos impiden la visualización completa.
Este estudio se realiza para descartar un alto número de anomalías y malformaciones otorgando bastante tranquilidad a los padres sobre el bienestar de su bebé.
Además de efectuar una ecografía obstétrica convencional se procede a estudiar detalladamente:
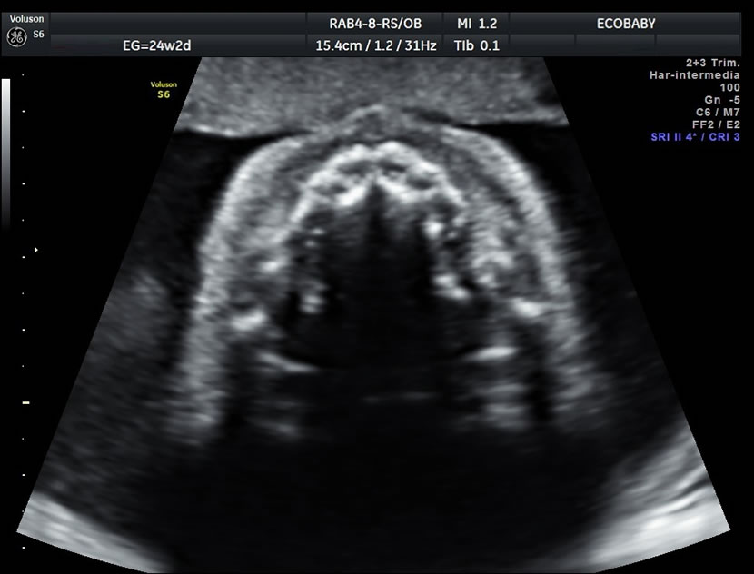
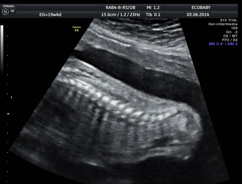
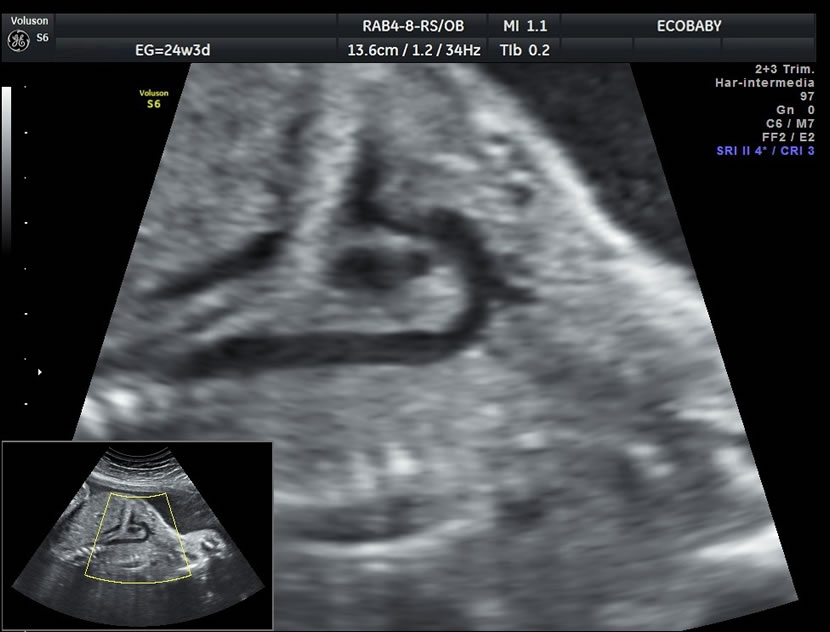
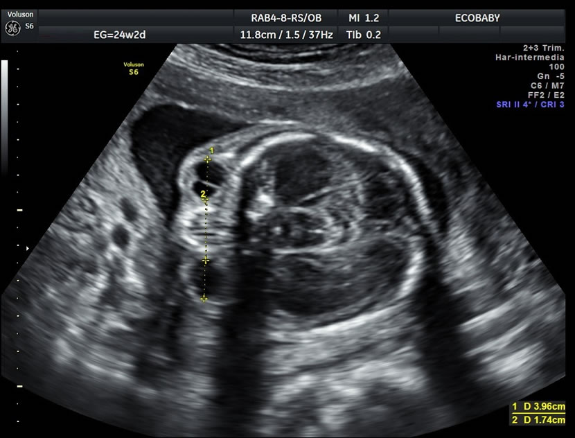
Cerebro, cuello, cara, tórax, corazón (diferentes cortes que muestran las cavidades y la correcta entrada y salida de arterias y venas), abdomen (normalidad de la pared, estómago, intestino, riñones, vejiga), miembros inferiores y superiores y columna vertebral.
Con este estudio se detectan un número muy amplio de anomalías pero se debe tener en cuenta que muchos trastornos no se pueden identificar antes de nacer y otros son de difícil diagnóstico prenatal y sólo se advierten en algunas ocasiones.
El Scan Fetal Detallado está indicado a toda paciente embarazada ya que la mayoría de problemas y anomalías son detectados en madres que no tienen ningún antecedente.

















